Αμφοτερόπλευρη Αρθροπλαστική Ισχίου
Όταν η Διπλή Αποκατάσταση Απαιτεί Άριστη Ακρίβεια
Ο στόχος μας στην αρθροπλαστική του ισχίου είναι η γρήγορη ανάρρωση χωρίς επιπλοκές και η άριστη μακροχρόνια λειτουργικότητα της άρθρωσης. Η χρήση τεχνικών ελάχιστης επεμβατικότητας και η εξατομικευμένη τοποθέτηση των προθέσεων αποτελούν βασικούς παράγοντες που εξασφαλίζουν τη μέγιστη επιτυχία.
Τι είναι η Αρθροπλαστική Ισχίου;
Η αρθροπλαστική ισχίου είναι η χειρουργική αντικατάσταση των φθαρμένων τμημάτων της άρθρωσης με μια τεχνητή πρόθεση. Ο σωστός προσανατολισμός στην τοποθέτηση των προθέσεων, η ακριβής αποκατάσταση του μήκους των κάτω άκρων και η σωστή τάση των μαλακών μορίων αποτελούν βασικές προϋποθέσεις για την επιτυχία της επέμβασης.
Τι είναι η Αμφοτερόπλευρη Αρθροπλαστική Ισχίου;
Πρόκειται για τη χειρουργική αντικατάσταση και των δύο ισχίων στον ίδιο χειρουργικό χρόνο, χωρίς την ανάγκη δεύτερης επέμβασης μετά από εβδομάδες ή μήνες. Με τη σύγχρονη τεχνική AMIS, τα εξειδικευμένα πρωτόκολλα αναισθησίας και ταχείας ανάρρωσης (Fast Track – Rapid Recovery) και τη σωστή επιλογή ασθενών, η αμφοτερόπλευρη αρθροπλαστική έχει εξελιχθεί σε μία ασφαλή και αποτελεσματική θεραπευτική επιλογή.


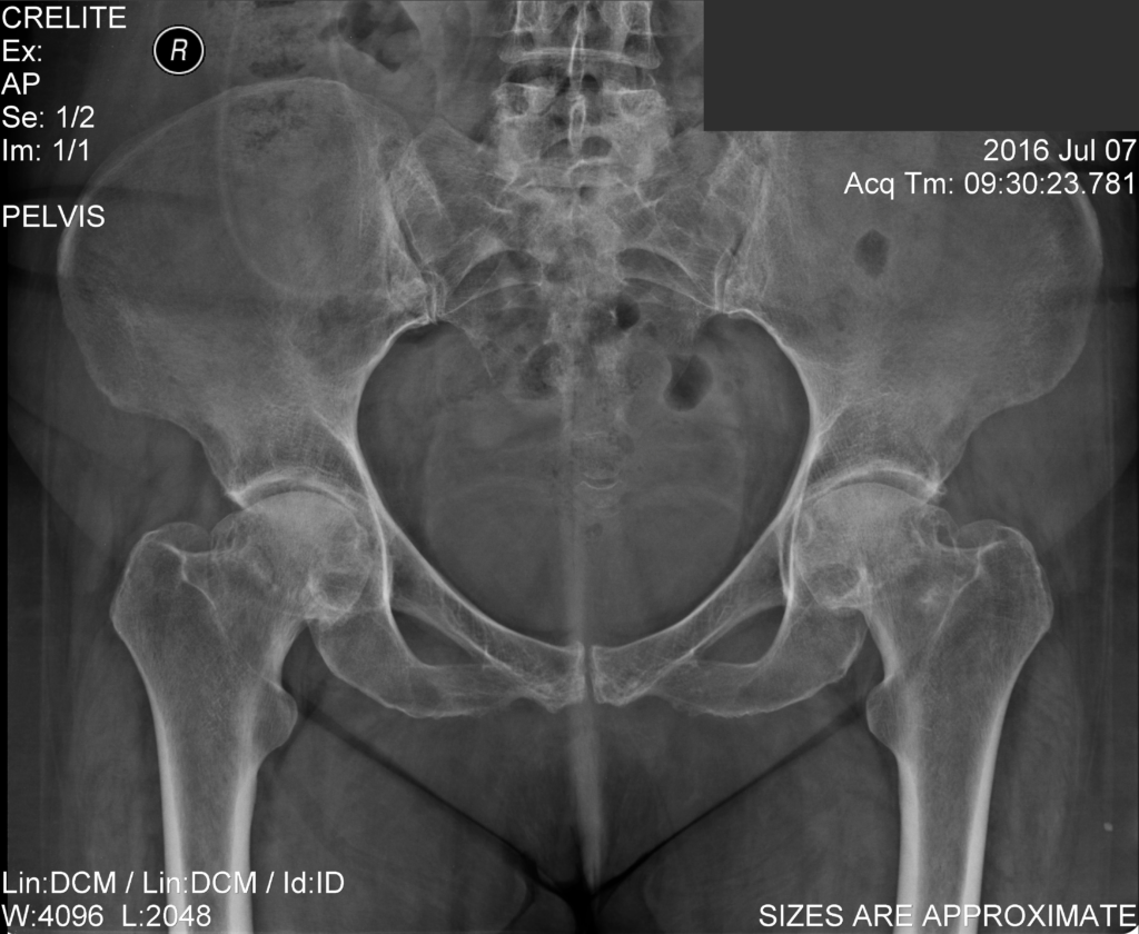
Ακτινογραφίες ασθενή ΠΡΙΝ την επέμβαση αμφοτερόπλευρης αρθροπλαστικής ισχίων
Τι είναι η Προσπέλαση AMIS;
Η AMIS (Anterior Minimally Invasive Surgery) αποτελεί την πλέον ατραυματική χειρουργική τεχνική στην αρθροπλαστική ισχίου. Διασφαλίζει τη διατήρηση των μυών και των μαλακών ιστών, ενώ επιτρέπει την ακριβή και ασφαλή αντικατάσταση της άρθρωσης.
Ενδείξεις
- Οστεοαρθρίτιδα
- Ρευματοειδής αρθρίτιδα
- Οστεονέκρωση μηριαίας κεφαλής
- Κάταγμα κεφαλής μηριαίου ή αυχένα μηριαίου
- Μετατραυματική αρθρίτιδα
Πλεονεκτήματα της Αμφοτερόπλευρης Αρθροπλαστικής Ισχίου
• Μία αναισθησία – ένα χειρουργείο – μία νοσηλεία
• Μικρές τομές – εξαιρετικό αισθητικό αποτέλεσμα (AMIS)
• Ατραυματική τεχνική για συνδέσμους και μύες (AMIS)
• Λιγότερος μετεγχειρητικός πόνος
• Μικρότερη συνολική περίοδος αποκατάστασης
• Πρώιμη και άμεση κινητοποίηση
• Αποφυγή μηνών αναμονής ανάμεσα σε δύο χωριστές επεμβάσεις
• Γρηγορότερη επιστροφή στην καθημερινότητα



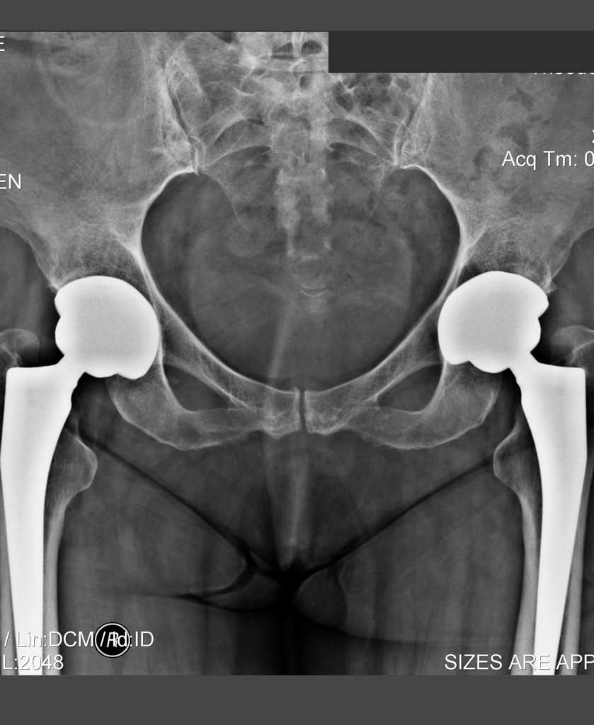
Ακτινογραφίες ασθενή ΜΕΤΑ από επέμβαση αμφοτερόπλευρης αρθροπλαστικής ισχίων που πραγματοποιήθηκε προ 10ετίας
Γιατί πλέον μπορεί να γίνει με ασφάλεια;
Η ομάδα της ArthroClinic πρωτοπορεί εδώ και χρόνια με την αμφοτερόπλευρη αρθροπλαστική ισχίων την ίδια μέρα, υπό μία αναισθησία.
Με τη σύγχρονη αναίμακτη τεχνική AMIS, τα πρωτόκολλα:
- Αναισθησίας
- Αναλγησίας
- Φυσικοθεραπείας
- Fast Track & Rapid Recovery
& με την πολύχρονη εμπειρία μας, εξασφαλίζουμε μέγιστη ασφάλεια και ταχεία αποκατάσταση σε ασθενείς που υποβάλλονται σε αμφοτερόπλευρη αρθροπλαστική.
Παλιότερα, οι δύο επεμβάσεις γίνονταν ξεχωριστά, με μεσοδιάστημα μηνών, γεγονός που προκαλούσε σημαντικό πόνο και δυσκολία στο μη χειρουργημένο ισχίο κατά την αποκατάσταση. Σήμερα, με τις νέες τεχνικές αυτό δεν είναι πλέον απαραίτητο.
Μετεγχειρητική αποκατάσταση
Με την AMIS τεχνική και τα Fast-Track πρωτόκολλα:
- Βάδιση από τις πρώτες ώρες με μερική ή πλήρη φόρτιση
- Εξιτήριο μετά από 1-2 ημέρες
- Παγοθεραπεία
- Χρήση βακτηριών αγκώνος για 3 εβδομάδες
- Έλεγχος τραύματος σε 3 εβδομάδες (δεν αφαιρούνται ράμματα, είναι απορροφήσιμα)
- Επανεξέταση με ακτινογραφία σε 6 εβδομάδες
- Οδήγηση σε 3-4 εβδομάδες
- Επάνοδο στην εργασία σε 3-12 εβδομάδες (ανάλογα με το είδος εργασίας)
Αντενδείξεις
• Προχωρημένη ηλικία με σημαντικές συνοδές παθήσεις
• Σοβαρή καρδιολογική ή αναπνευστική νόσος
• Σύνθετη οστεοαρθρίτιδα ισχίου (π.χ. προηγηθείσα χειρουργική επέμβαση)
• Συγγενές εξάρθρημα ισχίου
• Παχυσαρκία βαθμού ΙΙ–ΙΙΙ
Επιπλοκές
Αν η επέμβαση πραγματοποιηθεί με καλή τεχνική και προσεκτικά, δεν υπάρχουν επιπλοκές. Με την εφαρμογή τεχνικών ελάχιστης επεμβατικότητας και πρωτοκόλλων πρώιμης κινητοποίησης και ταχείας ανάρρωσης, μειώθηκε εντυπωσιακά η πιθανότητα εμφάνισης τους. Παρόλα αυτά, όπως σε όλες τις χειρουργικές επεμβάσεις, ενδέχεται να παρουσιαστούν φλεγμονή χειρουργικής τομής ή άρθρωσης, αιμάτωμα ή αίμαρθρο, πόνος, δυσκαμψία, φλεβική θρόμβωση, κάκωση νεύρου με μούδιασμα, περιπροθετικό κάταγμα, χαλάρωση πρόθεσης, εξάρθρημα, ανισοσκελία.
Συστήνεται οδοντιατρικός έλεγχος προ-εγχειρητικά και κάλυψη με αντιβίωση σε περίπτωση οδοντιατρικών παρεμβάσεων για ένα χρόνο μετά την επέμβαση για την πρόληψη λοιμώξεων (σε συνεννόηση με τον Οδοντίατρο και τον Ορθοπαιδικό).
Ο Ορθοπαιδικός Χειρουργός Στέργιος Ν. Λάλλος έχοντας εξειδίκευση στη χειρουργική μεγάλων αρθρώσεων, διαθέτει βαθιά γνώση της παθολογίας του ισχίου και εφαρμόζει τις πλέον σύγχρονες τεχνικές αντιμετώπισης.
Επικοινωνήστε μαζί μας για εξατομικευμένη διάγνωση και πλήρη ενημέρωση σχετικά με την κατάλληλη θεραπεία για εσάς.